¿Qué problemas dentales puede provocar el apretamiento dental nocturno?
Notar encías que sangran al cepillarte los dientes o al usar hilo dental es una señal que no conviene ignorar. Muchas personas piensan que se trata de algo sin importancia o que ocurre por cepillarse “demasiado fuerte” pero, en realidad, el sangrado de encías suele indicar que hay una inflamación que necesita atención. Detectarlo a tiempo puede evitar problemas mayores y ayudarte a mantener una buena salud bucodental.
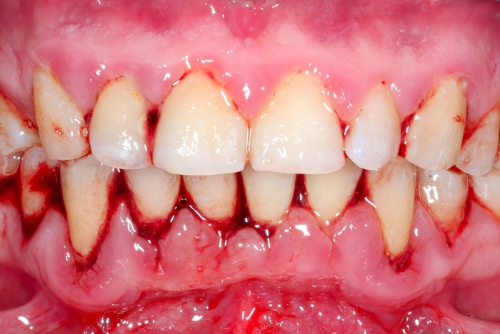
La gingivitis, la causa más frecuente de las encías que sangran
La causa más frecuente de las encías que sangran es la gingivitis. Se trata de una inflamación de la encía provocada por la acumulación de placa bacteriana alrededor de los dientes. Cuando no se elimina bien con el cepillado y la higiene interdental, esa placa irrita los tejidos y hace que la encía esté más sensible, enrojecida e inflamada. En esa situación, es habitual que aparezca sangrado al cepillarse, al pasar el hilo dental o incluso al comer determinados alimentos.
Otros factores que pueden favorecer el sangrado de encías
Además de la gingivitis, hay otros factores que pueden favorecer las encías que sangran. Entre ellos están una higiene bucal insuficiente, el uso incorrecto del cepillo, los cambios hormonales, el tabaco, ciertos medicamentos o el uso de aparatos de ortodoncia que dificultan la limpieza. También puede influir el apiñamiento dental, ya que complica llegar bien a algunas zonas y favorece que se acumulen restos y bacterias.

Qué puede pasar si no se trata a tiempo
Aunque a veces el sangrado parezca leve o puntual, no es recomendable esperar a que desaparezca por sí solo. Si la inflamación de las encías avanza, puede derivar en una periodontitis, una enfermedad más seria que afecta a los tejidos que sujetan el diente. En estos casos, no solo hay sangrado, sino también retracción de encías y del hueso que sustenta los dientes, movilidad dental, mal aliento persistente o sensación de que los dientes están más largos.
Cómo prevenir las encías que sangran
Para prevenir las encías que sangran, es fundamental mantener una rutina de higiene bucodental adecuada. Esto incluye cepillarse al menos dos veces al día con una técnica correcta, utilizar cepillos interdentales o hilo dental y acudir a revisiones periódicas. En consulta, el dentista puede valorar el estado de las encías y realizar una limpieza profesional si hay acumulación de sarro o placa en zonas que no puedes limpiar bien en casa.
También conviene revisar los hábitos diarios. Fumar perjudica mucho la salud de las encías, y una dieta pobre en ciertos nutrientes puede influir en el estado de los tejidos. Del mismo modo, si llevas ortodoncia o tienes prótesis, es importante recibir indicaciones personalizadas para mantener una limpieza eficaz.
Cuándo pedir cita con el dentista
Debes pedir cita con tu dentista si notas que las encías que sangran se repiten varios días seguidos, si el sangrado es abundante o si aparece acompañado de inflamación, dolor, mal aliento o sensibilidad. Cuanto antes se diagnostique la causa, más sencillo será tratar el problema y evitar complicaciones.

En Clínica Dental Larrañaga podemos ayudarte a identificar por qué aparecen las encías que sangran y recomendarte el tratamiento más adecuado según tu caso. Un diagnóstico a tiempo puede marcar la diferencia entre una inflamación reversible y un problema periodontal más avanzado. Cuidar tus encías es cuidar también la estabilidad y la salud de tus dientes a largo plazo.
Encías que sangran | Salud Bucodental | Problemas Dentales
Clínica dental Larrañaga | Tratamientos dentales personalizados
Explora todos nuestros: tratamientos dentales
En nuestra clínica ofrecemos todos los servicios odontológicos, desde: implantes dentales, carillas dentales y alineadores invisibles, hasta periodoncia, endodoncia, y tratamientos especializados como: Trastornos de la ATM, apnea del sueño y odontopediatría. Nos adaptamos a ti para que logres tu mejor sonrisa.
Clínica Dental Larrañaga
Trabajamos con un enfoque integral y especializado en ortodoncia, estética dental y salud bucodental. Fundada por la Dra. Arantxa Larrañaga, nuestra clínica dental en Legazpi ofrece un trato personalizado con la más avanzada tecnología.
Recuerda que la primera cita es gratuita
Solicita tu cita online hoy mismo
¿Vives en los alrededores de Madrid Río, Arganzuela o Legazpi? Si es así, queremos ser tu clínica dental de confianza.
Visítenos en Calle Manuel Muñoz, 14, Madrid. Estamos cerca de ti para ofrecerte la mejor atención dental:
Queremos ser tu dentista en Legazpi – Puedes pedir cita llamando al 914 76 95 50, enviándonos un WhatsApp al 689 02 40 09, o escribiéndonos a info@clinicalarranaga.es.




