- Sonrisa más luminosa para el buen tiempo: cómo funciona el blanqueamiento dental profesional - 6 marzo, 2026
- Dientes rotos o fracturados: qué hacer y cómo puede ayudarte tu dentista en Madrid - 27 febrero, 2026
- Dolor al masticar: causas frecuentes y cuándo acudir al dentista en Madrid - 20 febrero, 2026
¿Qué son los dientes supernumerarios?
La dentición normal consta de 20 dientes en la dentición de leche y de 32 en la definitiva pero, a veces, nos encontramos con bocas que presentan dientes «extras» o dientes «de más». A éstos, los llamamos dientes supernumerarios. Aparecen en un 2-3% de la población y parece que existe una cierta tendencia hereditaria a presentarlos.
Los dientes supernumerarios son mucho más frecuentes en el maxilar superior que en el inferior. Alrededor del 90% se encuentran curiosamente en la arcada superior.
A veces presentan una anatomía correcta, lo que nos genera la duda de cuál de los dos dientes es el «bueno» y cuál el supernumerario. Otras, la mayoría, suelen ser dientes pequeños, con coronas amorfas y raices cortas.
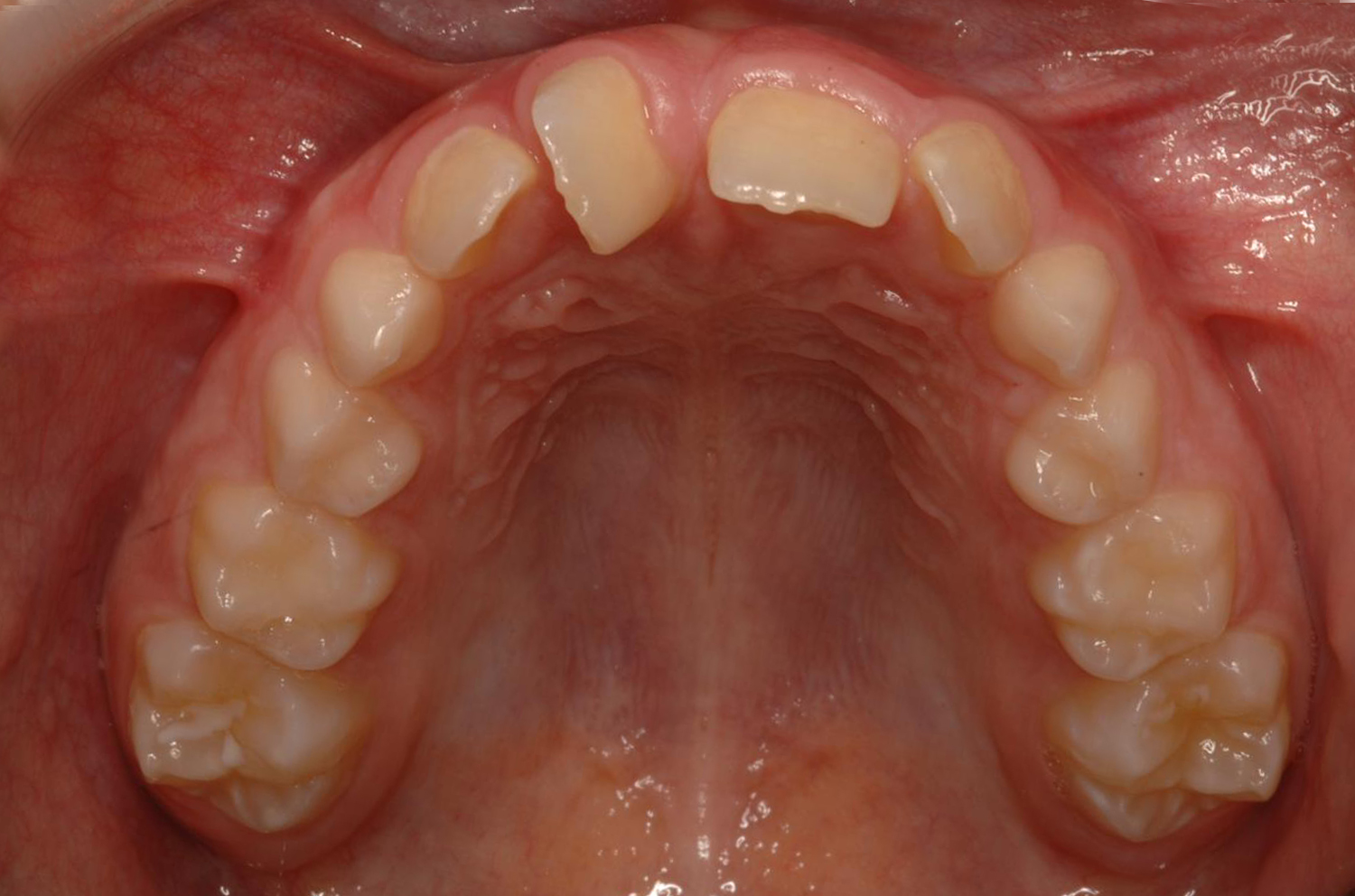
La ubicación más frecuente de todas es entre los dos dientes centrales superiores. A estos dientes supernumerarios les llamamos «mesiodens». La erupción anormal de alguno de los dos incisivos nos pueden hacer sospechar de la presencia de uno o varios dientes supernumerarios.

Otros dientes supernumerarios aunque menos frecuentes pueden ser premolares inferiores, incisivos laterales superiores o la presencia de un cuarto molar superior.
¿Cómo se diagnostican?
Normalmente son hallazgos casuales al realizar al paciente una radiografía panorámica de control. De ahí la importancia de acudir con nuestros hijos periódicamente al dentista para hacer el seguimiento del recambio dentario.
Ante la presencia de un diente que ha erupcionado muy descolocado en la arcada, o de dos incisivos centrales superiores con un espacio importante entre sí que no se debe a un frenillo demasiado grueso y bajo, o cuando un diente concreto no termina de erupcionar a pesar de que todos los dientes adyacentes ya lo han hecho, debemos sospechar de la posible presencia de dientes supernumerarios.
Tratamiento de los dientes supernumerarios
Cuando, en una radigrafía vemos un diente supernumerario, el tratamiento a seguir es siempre la extracción del mismo. La presencia anormal de estos dientes puede y suele alterar la erupción correcta de los dientes vecinos, así como provocar la destrucción de la raíz de alguno de ellos.
No hay una opinión unánime sobre la edad a la que deberemos practicar la extracción. Normalmente, si el o los dientes supernumerarios están a nivel de la linea media superior, la edad de extracción será entorno a los siete años, cuando las raices de los dos incisivos centrales no están formadas del todo.
Cuando la localización es otra, se suele esperar un poco más, hasta los 10 -11 años, aunque conviene estudiar cada caso concreto de manera individualizada.
A pesar de la extracción, muchas veces será necesario tratar ortodóncicamente al paciente para colocar aquellos dientes que han visto alterada su posición a causa de un diente supernumerario.
Por todo ello, y como siempre solemos resaltar en nuestros blogs, es de vital importancia realizar visitas periódicas al dentista desde edades tempranas, con el fin de poder diagnosticar y tratar problemas como estos de forma precoz, antes de que ocasiones graves problemas en nuestra salud oral.
En la Clínica Larrañaga estaremos encantados de convertirnos en tu clínica de confianza. Más de 20 años avalan nuestra dedicación a los más pequeños de la casa. https://www.clinicadentallarranaga.com/clinicas-de-ortodoncia-en-el-sur-de-madrid/





He leído sobre los avances en salud dental proporcionados por el uso de impresoras 3D en los consultorios. Por ejemplo, la Lion 2 de http://www.leon-3d.es esta dando mucho de que hablar. Me han dicho sobre los buenos resultados ¿La han podido probar?