- Irrigador dental: qué es, cuándo usarlo y para quién está recomendado según tu dentista en Madrid - 23 enero, 2026
- Bruxismo: qué es, cómo detectarlo y qué tratamientos existen en una clínica dental en Madrid - 18 enero, 2026
- Cómo mantener unos buenos hábitos dentales después de las fiestas - 12 enero, 2026
Carillas estéticas: cómo mejoran la sonrisa de manera sencilla
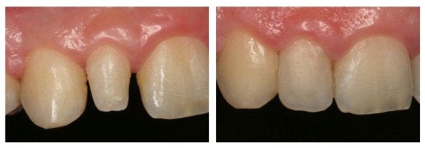
Las carillas estéticas se han convertido en uno de los tratamientos más demandados dentro de la odontología estética. Consisten en finas láminas, generalmente de porcelana o composite, que se adhieren a la superficie frontal de los dientes con el objetivo de mejorar su apariencia. Su popularidad se debe a que permiten transformar la sonrisa de manera rápida, segura y poco invasiva, ofreciendo resultados que parecen totalmente naturales.
Hoy en día, la sonrisa es una parte fundamental de la imagen personal. Una dentadura alineada, blanca y armónica transmite confianza y bienestar. Por ello, cada vez más personas buscan soluciones eficaces para corregir imperfecciones dentales sin tener que recurrir a tratamientos largos o complejos. En este contexto, las carillas estéticas destacan como la alternativa ideal para lograr una sonrisa renovada en poco tiempo.
¿Qué problemas solucionan las carillas estéticas?
Este tratamiento es muy versátil y puede emplearse en múltiples situaciones:
- Dientes manchados o con coloración que no mejora con blanqueamientos convencionales.
- Dientes desgastados o fracturados, devolviéndoles su forma y resistencia.
- Espacios entre dientes (diastemas), que se corrigen fácilmente con carillas estéticas personalizadas.
- Piezas con forma irregular o tamaño desigual, logrando una sonrisa más armónica.
- Pequeños desalineamientos, que pueden disimularse sin necesidad de recurrir a la ortodoncia.
Gracias a esta amplia gama de aplicaciones, las carillas permiten mejorar tanto la estética como la funcionalidad de la dentadura.

Tipos de carillas
Existen principalmente dos tipos de carillas estéticas, cada una con sus características:
- Carillas de porcelana
- Ofrecen un acabado muy natural y similar al esmalte dental.
- Son altamente resistentes a las manchas de café, vino o tabaco.
- Su durabilidad es mayor, pudiendo superar los 10 o incluso 15 años con un buen cuidado.
- Requieren un proceso más elaborado, pero los resultados suelen ser más estables a largo plazo.
- Como aspecto ligeramente negativo, hay que tallar un poco el diente para prepararlo, aunque la cantidad es francamente pequeña (0.5-0,8 mm)
- Carillas de composite
- Se realizan en una sola sesión, aplicando resina compuesta directamente sobre el diente.
- Son más económicas que las de porcelana.
- Resultan fáciles de reparar en caso de fractura o desgaste.
- Tienen una duración algo menor, entre 5 y 7 años, y son más sensibles a las manchas.
- Como importante ventaja, es un tratamiento muy conservador. No hay que tocar el diente.

La elección entre un tipo u otro dependerá de las necesidades estéticas, el presupuesto y la recomendación del dentista.
Ventajas de las carillas estéticas
Las carillas dentales ofrecen una serie de beneficios que explican su gran demanda:
- Mejora inmediata: en pocas sesiones, la sonrisa se transforma por completo.
- Tratamiento mínimamente invasivo: apenas requiere desgaste del esmalte natural.
- Resultados naturales y personalizados: se diseñan en color, forma y tamaño para integrarse con el resto de la dentadura.
- Durabilidad: especialmente en el caso de las carillas de porcelana, que pueden acompañar al paciente durante más de una década.
- Incremento de la autoestima: contar con una sonrisa atractiva mejora la seguridad personal y la confianza en la vida social y profesional.
Procedimiento de colocación
El proceso para colocar carillas estéticas es sencillo y prácticamente indoloro:
- Evaluación inicial: el odontólogo realiza un estudio de la sonrisa y propone un diseño adaptado al paciente.
- Preparación del diente: en algunos casos es necesario un ligero pulido del esmalte para facilitar la adhesión.
- Toma de impresiones: si se trata de carillas de porcelana, se envían al laboratorio para su fabricación personalizada.
- Colocación: se adhieren a los dientes mediante resinas especiales de alta resistencia.
- Revisión final: el dentista comprueba la oclusión y la adaptación para garantizar un resultado perfecto.
El procedimiento puede completarse en una o dos visitas, dependiendo del tipo de carilla elegido.

Cuidados tras colocarlas
Para mantener las carillas estéticas en buen estado durante muchos años, conviene seguir algunas recomendaciones básicas:
- Cepillarse los dientes después de cada comida con una pasta fluorada.
- Usar hilo dental o cepillos interdentales para eliminar restos de comida.
- Evitar morder objetos duros como bolígrafos, hielo o frutos secos con cáscara.
- Reducir el consumo de café, té y tabaco en el caso de las carillas de composite, ya que son más propensas a pigmentarse.
- Acudir a revisiones periódicas y realizar limpiezas profesionales una o dos veces al año.
Cumpliendo estas pautas, las carillas pueden mantenerse en perfecto estado durante largo tiempo.
¿Quiénes son buenos candidatos a las carillas estéticas?
Este tratamiento está indicado para pacientes que buscan una mejora estética rápida y eficaz. Sin embargo, no todas las personas son candidatas. Es fundamental contar con una buena salud bucodental previa, sin caries activas ni enfermedades periodontales. En casos de problemas severos de alineación o mordida, puede ser recomendable realizar antes un tratamiento de ortodoncia.

Conclusión
Las carillas estéticas representan una de las formas más sencillas y eficaces de transformar la sonrisa. Son una solución versátil que permite corregir manchas, fracturas, espacios o irregularidades, ofreciendo un resultado inmediato, natural y duradero.
Su carácter mínimamente invasivo, junto con la posibilidad de personalizarlas al máximo, las convierte en una alternativa ideal para quienes desean mejorar su imagen sin pasar por tratamientos largos o dolorosos. Con los cuidados adecuados y la supervisión periódica de un especialista, las carillas estéticas pueden acompañar al paciente durante muchos años, aportando armonía, confianza y una sonrisa que marca la diferencia.
Clínica dental Larrañaga | Tratamientos dentales personalizados
Explora todos nuestros: tratamientos dentales
En nuestra clínica ofrecemos todos los servicios odontológicos, desde: implantes dentales, carillas dentales y alineadores invisibles, hasta periodoncia, endodoncia, y tratamientos especializados como: Trastornos de la ATM, apnea del sueño y odontopediatría. Nos adaptamos a ti para que logres tu mejor sonrisa.
Clínica Dental Larrañaga
Trabajamos con un enfoque integral y especializado en ortodoncia, estética dental y salud bucodental. Fundada por la Dra. Arantxa Larrañaga, nuestra clínica dental en Arganzuela ofrece un trato personalizado con la más avanzada tecnología.
Recuerda que la primera cita es gratuita
Solicita tu cita online hoy mismo
¿Vives en los alrededores de Madrid Río, Arganzuela o Legazpi? Si es así, queremos ser tu clínica dental de confianza.
Visítenos en Calle Manuel Muñoz, 14, Madrid. Estamos cerca de ti para ofrecerte la mejor atención dental:
Queremos ser tu dentista en Arganzuela – Puedes pedir cita llamando al 914 76 95 50, enviándonos un WhatsApp al 689 02 40 09, o escribiéndonos a info@clinicalarranaga.es.








