- Empastes estéticos - 18 mayo, 2017
- Cómo reponer un diente perdido - 27 abril, 2017
- ¿Por qué debemos reponer un diente perdido? - 17 abril, 2017
Tener una sonrisa blanca y bella es algo deseado por todas las personas. Las carillas de porcelana juegan un papel protagonista en la estética dental.https://www.clinicadentallarranaga.com/tratamientos/estetica-dental-madrid/
En el blog de hoy vamos a explicaros de forma sencilla en qué consisten y en que casos se utilizan.
¿Qué son las carillas de porcelana?
Son unas finas láminas de porcelana de unos 0,5 – 0,8 mm de grosor que, cementadas sobre los dientes, consiguen mejorar su forma, tamaño y/o color.
¿En qué casos se utilizan?
Como ya hemos dicho, las carillas de porcelana se utilizan para recrear una sonrisa armónica y bella. Una carilla de porcelana de calidad consigue reparar cualquier error que comprometa la estética de nuestra sonrisa.
Antes Después
Las situaciones más comunes en las que las carillas están indicadas son:
- Alteraciones del color: Dientes oscuros en los que el tratamiento de blanqueamiento dental no ofrece un resultado muy bueno, como son los casos de tinciones por tetraciclinas o las alteraciones en la formación del esmalte, como la amelogénesis imperfecta. En estos casos, con las carillas podremos aclarar el color de nuestros dientes naturales varios tonos.
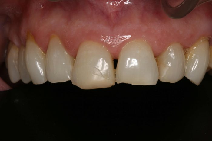
- Dientes fracturados o desgastados: Un diente fracturado por un traumatismo o dientes desgastados por bruxismo (rechinar los dientes) pueden recuperar su longitud original utilizando carillas de porcelana.
- Dientes separados: Es lo que los odontólogos llamamos diastemas. Dientes demasiado estrechos pueden recuperar su anchura adecuada gracias al cementado de carillas de porcelana (ver fotos).
- Dientes con alteraciones en la forma: Los dientes no siempre tienen una forma bonita. A veces la superficie no es homogénea o presenta ligeras deformidades. Otras veces, existen dientes más pequeños de lo normal, lo que llamamos dientes microdónticos. Las carillas conseguirán dar belleza y dimensión a la cara anterior de esos dientes anómalos.
- Dientes mal colocados. Algunos profesionales utilizan las carillas para «disimular» dientes mal alineados. En la Clínica Dental Larrañaga no somos partidarias de utilizarlas con esta finalidad. En estos casos, el tratamiento de elección es la ortodoncia, no las carillas.
Antes Después
¿Cómo se realizan?
En una primera visita es importante dedicar tiempo a hablar con el paciente. Debemos saber qué es lo que te preocupa y cuales son tus objetivos. El experto en estética te asesorará sobre lo que puedes conseguir con las carillas de porcelana y te recomendará el color más adecuado para aplicar en tu caso.
«Utilizando carillas de porcelana, diseñaremos tu nueva sonrisa.»
En la segunda visita, el dentista llevará a cabo la preparación de los dientes sobre los que vamos a colocar las carillas. Para ello, se realizará un pequeño tallado de los mismos, nunca superior a 0,8 mm, para compensar el grosor que va a tener la carilla. Hay clínicas que ofrecen colocación de carillas sin tallado previo de los dientes. En la Clínica Dental Larrañaga no lo recomendamos. Si no preparamos los dientes previamente, éstos quedarán finalmente demasiado gruesos y el resultado estético conseguido con el tratamiento no será el idóneo, ya que los dientes carecerán de naturalidad.
«En este tipo de carillas es importantísimo trabajar con laboratorios que compartan una filosofía de trabajo que persiga la naturalidad en la estética, altamente cualificados y con una formación continuada.»
Una vez preparados los dientes, se tomarán medidas y fotos de los mismos y se harán pruebas de color. Todo ello se enviará al laboratorio para proceder a la elaboración personalizada de tus carillas. En algunos casos, será necesario que acudas al laboratorio para realizar pruebas de color más complejas. Mientras se fabrican las carillas de porcelana, te colocaremos unas carillas provisionales de resina que te permitirán mantener una estética adecuada durante todo el proceso y protegerán tus dientes de la sensibilidad.
En la tercera y última visita, probaremos las carillas en tu boca y te enseñaremos el resultado antes de proceder a cementarlas. Sólo si te gustan y estás contento con el resultado, procederemos a su colocación definitiva.
