¿Qué es una Clase III?
En ortodoncia llamamos clase III a aquella alteración de la mordida en la que los dientes de la arcada superior muerden retrasados respecto a los dientes de la arcada inferior.
Causas
Según cuál sea el origen del problema, dividimos las Clases III en óseas o dentarias.
Clase III ósea
Decimos que una Clase III es ósea o esquelética cuando el origen del problema está en los huesos: el maxilar superior y la mandíbula. La mandíbula se encuentra en una posición adelantada respecto al maxilar, lo cual se percibe en el perfil, que se vuelve muy cóncavo. La afectación estética de la clase III es muy acusada, ya que una mandíbula prominente es muy llamativa y endurece mucho los rasgos faciales de la persona que la padece.
En la mayoría de los casos, en contra de lo que se podría pensar, la causa de la clase III es un déficit de crecimiento del maxilar superior, lo cual hace que la mandíbula ostente mayor relevancia y que la mordida a nivel de los dientes anteriores aparezca invertida. Además, en estos casos en los que el maxilar superior está en una posición retrasada observamos también la poca prominencia que presentan los pómulos. Como hecho curioso, esto lo podemos observar en los retratos por todos conocidos de los Austrias, caracterizados por presentar todos ellos una importante clase III ósea.
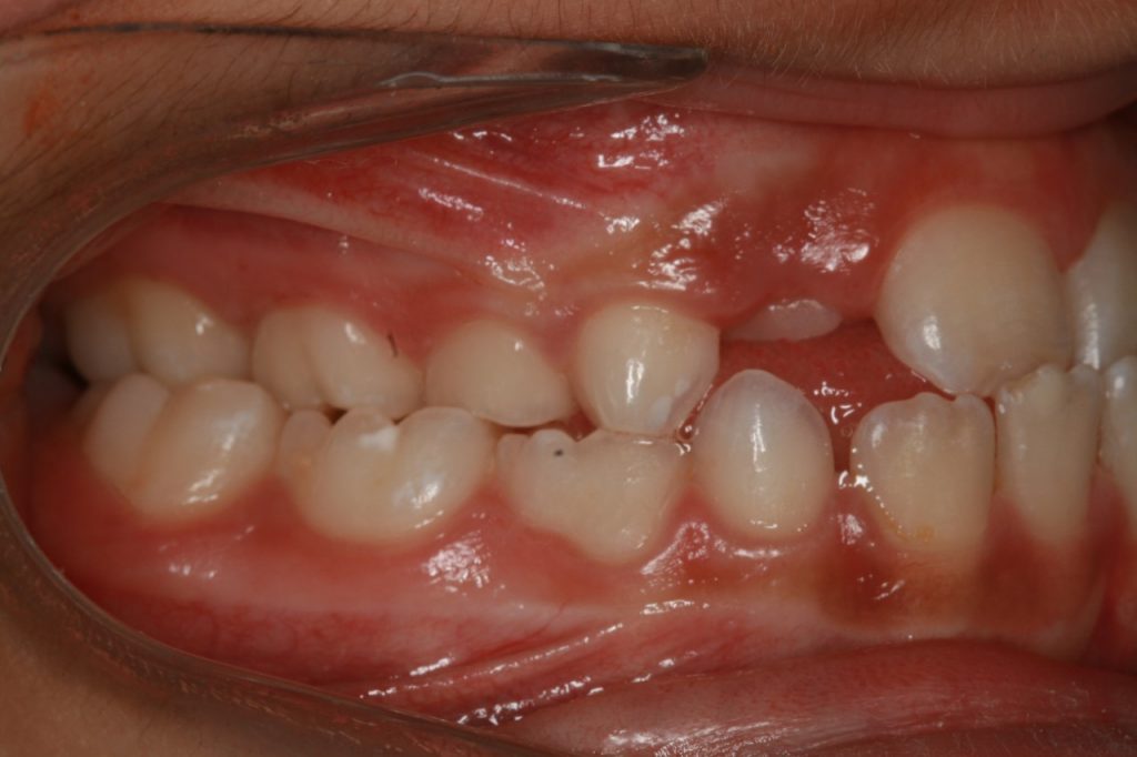
Clase III dentaria
Decimos que existe una Clase III dentaria cuando los dientes superiores muerden retrasados respecto a los inferiores pero las bases óseas tiene un tamaño y una posición correctas.
Esto puede suceder por múltiples causas: porque los incisivos inferiores estén muy volcados hacia delante por un hábito de lengua, porque los incisivos superiores hayan erupcionado con una inclinación incorrecta, porque el número de dientes en la arcada superior sea menor que en la inferior, etc…. pero, en cualquier caso, el tratamiento será sencillo utilizando bien brackets u ortodoncia invisible.
Tratamiento
Para planificar el tratamiento lo importante es haber realizado previamente un diagnóstico minucioso del problema, ayudándonos de modelos de los dientes, radiografías y fotos del paciente. https://www.clinicadentallarranaga.com/blog/diagnostico-en-ortodoncia/
Tendremos que tener en cuanta dos factores fundamentales: ¿Cuál es la causa de la clase III?, ¿es ósea o dentaria? y ¿Cuál es la edad del paciente?
Cuando el problema es óseo:
- Si el paciente es menor de 12 años: podremos realizar un tratamiento ortopédico. Con ayuda de aparatos específicos (que denominamos máscaras faciales), podremos estimular el crecimiento del máxilar superior aprovechando los picos de crecimiento prepuberal, consiguiéndose resultados excelentes. Hasta hace unos años se utilizaban también unos dispositivos de uso nocturno que se denominaban mentoneras, con los que se pretendía frenar el crecimiento mandibular. Los estudios demostraron que eran totalmente ineficaces, ya que no frenaban en absoluto el crecimiento de la misma y además, producían en algunos casos lesiones a nivel de la articulación temporomandibular. Hoy en día están totalmente en desuso.
- Si el paciente es mayor de 12 años: ya no podremos solucionar el problema óseo. Si la clase III ósea no es muy grave podremos mover los dientes con ortodoncia para enmascarar el problema a nivel dentario, aunque el perfil no podremos modificarlo demasiado. Si el problema es muy acusado, habrá que recurrir a la cirugía ortognática.https://www.clinicadentallarranaga.com/blog/cirugia-ortognatica/
«En las Clases III de causa ósea es fundamental el diagnóstico precoz del problema para poder tratarlo antes de que sea demasiado tarde.»
Cuando el problema es dentario:
En estos casos, independientemente de la edad, trataremos al paciente con ortodoncia fija convencional, es decir, con brackets, o bien, con ortodoncia invisible, con el fin de llevar los dientes a una posición correcta y establecer una mordida adecuada.
