- ¿Qué problemas dentales puede provocar el apretamiento dental nocturno? - 6 abril, 2026
- ¿Cómo cuidar implantes dentales correctamente para que duren muchos años? - 26 marzo, 2026
- Soy diabético: ¿cómo debo cuidar mis dientes y encías? - 16 marzo, 2026
Llamamos caninos incluidos a aquellos que sobrepasada la edad de erupción de los mismos permanecen dentro del hueso maxilar (superior o inferior).
Cuando un canino se queda dentro del paladar o de la mandíbula normalmente lo encontraremos horizontalizado en mayor o menor grado, ya que ha perdido la referencia del camino de erupción.
Esta alteración de la erupción puede afectar al resto de los dientes también, pero es mucho más frecuente a nivel de los caninos, y más habitual en el maxilar superior que en el inferior.
Es muy importante conseguir llevar estos dientes a su emplazamiento correcto, ya que el canino tiene una función muy importante en la masticación. Es un diente muy potente y protege a los dientes vecinos en los movimientos de lateralidad.
En el caso de los niños, solemos verlo al hacerles una radiografía panorámica para controlar la evolución de su recambio dentario. Sin embargo, en muchos adultos, en los que el hábito de realizar visitas periódicas de control en el dentista está menos extendido, el hallazgo se produce cuando el paciente pierde el canino temporal que todavía permanecía en boca y el hueco se queda expuesto.
¿Por qué se quedan los caninos incluidos en el paladar?
Los caninos pueden quedarse incluidos por varios motivos. Fundamentalmente, por una desviación del diente del camino de erupción o por no existir suficiente espacio en la arcada dentaria.
¿Qué hacer si tenemos uno o varios caninos incluidos?
El tratamiento más adecuado es traccionar de estos caninos mediante un tratamiento de ortodoncia para reposicionarlos a su lugar correcto. No obstante, debemos saber que no todos los caninos incluidos son llevados con éxito a su posición. Existe un pequeño porcentaje de ellos, que se encuentran anquilosados (soldados al hueso) y que no se moverán. A mayor edad del paciente, peor pronóstico. https://www.clinicadentallarranaga.com/tratamientos/ortodoncia%c2%ad-precios-%c2%admadrid/
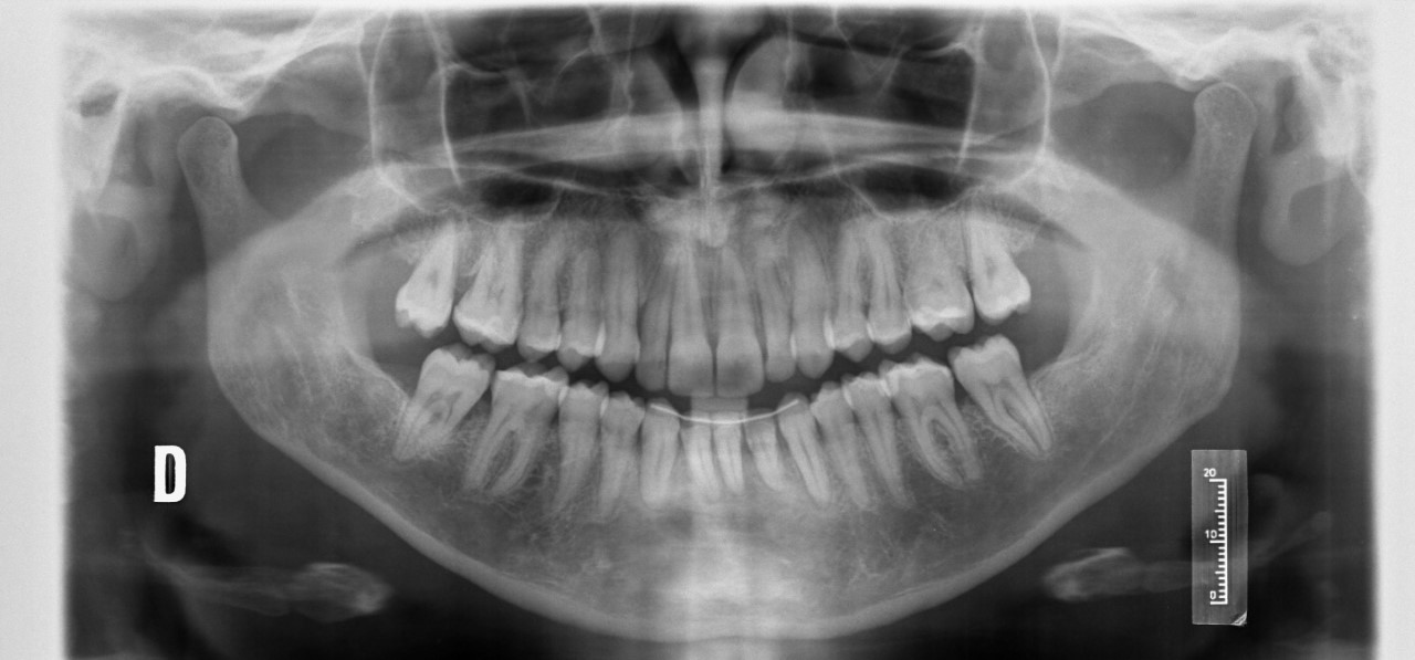
En las imágenes anteriores, mostramos un caso antes y después del tratamiento de ortodoncia. En la primera foto, el paciente presenta todavía su canino temporal. En la segunda foto, ya finalizado el tratamiento, con el canino permanente emplazado en su lugar correcto. La duración de un tratamiento de ortodoncia para traccionar de uno o varios caninos incluidos puede oscilar entre los 20 y los 30 meses.
Radiografías panorámicas: posición de los caninos incluidos antes y después del tratamiento de ortodoncia.
Los adultos muchas veces se preguntan si vale la pena pasar por un tratamiento de ortodoncia para colocar el canino incluido en su lugar, con el tiempo y la incomodidad que supone, en vez de recurrir a colocar un implante en su lugar. La respuesta es: «decididamente sí». Debemos saber que la mejor prótesis posible es un diente natural.
A veces encontramos otro problema añadido para colocar una prótesis en el lugar dejado por el canino temporal, y es que el espacio existente no es suficiente para colocar un implante del tamaño adecuado.
En cualquier caso, si no queremos tratar el problema de los caninos incluidos con ortodoncia y recurrimos a colocar una prótesis en su lugar, debemos extraer siempre el diente incluido, ya que su permanencia dentro del hueso durante un espacio de tiempo prolongado puede acabar dañando las raices de los dientes vecinos por la presión que ejerce sobre ellas. https://www.clinicadentallarranaga.com/clinicas-de-implantes-en-usera/
Como conclusión, diremos que es importante diagnosticar estos problemas lo antes posible, para que el pronóstico sea bueno y podamos reposicionar los caninos incluidos a su lugar en la arcada dentaria con un tratamiento de ortodoncia sencillo y exitoso.